研究进展 | SNCA-A53T猴模型重现帕金森病前驱期演进,为机制解析和早期诊断提供新的视角

· 新闻
Section image

帕金森病(Parkinson’ Disease, PD)是一种常见的神经退行性疾病。随着中国人口老龄化的加剧,近三十年间,我国与帕金森病相关的疾病负担指标均呈快速上升趋势,严重影响老年人群的健康。

PD通常以隐匿的睡眠障碍和躯体症状开始,当静止性震颤、运动迟缓等典型运动症状出现时,中脑黑质的多巴胺能神经元已发生大量丢失,此时治疗效果有限。因此,阐明PD前驱期的病理生理变化,是实现早期诊断与疾病干预的关键。然而,现有临床前模型,尤其是广泛使用的小鼠模型,在模拟人类PD复杂的、渐进的多系统病理及非运动症状(如与人类高度相似的快速眼动睡眠行为障碍)方面存在局限,极大地制约了对疾病起源和早期干预靶点的探索。

近日,昆明理工大学季维智/牛昱宇团队联合美国北卡罗来纳大学研究团队在Brain发表了题为“α-Synuclein aggregation and brain atrophy in SNCA-A53T transgenic monkeys correlate with parkinsonism”的研究。该研究利用SNCA-A53T转基因猕猴模型,从动物出生开始进行长达四年的纵向、多维度系统追踪,系统描绘了帕金森病从前驱期到早期阶段的完整病理与表型演进轨迹。该模型成功再现了α-突触核蛋白的进行性病理沉积、不对称性多巴胺能系统损伤、快速眼动睡眠行为障碍、隐匿性的运动与认知缺陷,以及与症状相关的广泛性脑萎缩。研究揭示了星形胶质细胞丢失是早期脑结构改变的关键因素,并指出整合睡眠监测与神经影像标志物对早期诊断具有重要价值。

Section image

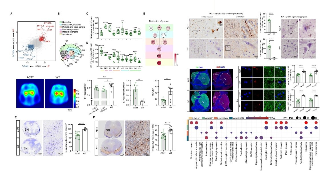
研究者在携带人类A53T突变α-突触核蛋白基因(SNCA-A53T)的转基因猕猴模型中发现进行性病理变化与多巴胺途径损伤,包括脑内出现磷酸化α-突触核蛋白的沉积,并且遵循从尾端向头端扩展的模式,与Braak分期假说相符。在黑质出现了类似路易小体的α-突触核蛋白的沉积结构。同时,黑质多巴胺能神经元丢失约26%;纹状体多巴胺转运体信号降低,并出现与早期PD患者类似的不对称性损害。

图1.转基因猴表现出PD病理和多巴胺损伤

图1.转基因猴表现出PD病理和多巴胺损伤

研究团队通过长期追踪发现,在出现显著的运动障碍之前,转基因猴已表现出精细运动协调能力下降和工作记忆受损。以上结果都提示转基因猴处于PD发展的早期阶段。

Section image

图2.转基因猴表现出渐进性的帕金森行为表型

研究人员利用自由活动下的多导电生理睡眠记录,对转基因猴的睡眠节律进行了全面分析。首次在非人灵长类模型中直接证实“快速眼动睡眠障碍”,这一目前PD最强前驱风险生物标志物的存在。

图1 病因性PD猴模型从临床表型到病理表型均高度模拟PD病人

图3.转基因猴具有典型快速眼动睡眠障碍

研究人员从转基因动物出生后,即对动物脑发育过程进行了MRI追踪扫描。分析显示,转基因猴出现全脑广泛的渐进性灰质体积减少、皮质变薄,在初级运动皮层、前扣带回、尾状核等区域尤为显著。进一步分析显示,特定脑区的结构变化与动物的行为缺陷相关。基于多个关键萎缩脑区的影像学数据,能够有效区分转基因动物与对照组,提示其作为早期影像学生物标志物的潜力。

Section image

图4. 转基因猴随发育过程的脑结构萎缩与帕金森表型相关

单细胞转录组学分析揭示,星形胶质细胞是表达突变α-突触核蛋白的主要细胞类型之一,在转基因猴大脑皮层中发生特异性基因表达失调,并且发现反应性星形胶质细胞特异性减少,这一结果提示星胶在PD前驱期脑萎缩中扮演关键角色。

Section image

图5. 转基因猴大脑皮层星形胶质细胞出现表达异常和丢失

总之,本研究利用转基因猕猴模型首次在系统重现了PD从前驱期到早期的完整病理演进链条,包括分子病理、神经退行、脑网络改变及复杂的临床前驱表型,为在体研究疾病起始机制提供了不可替代的平台。研究明确了睡眠障碍与特定模式的脑结构MRI变化可作为有前景的早期生物标志物组合。同时,研究将星形胶质细胞置于PD早期病理的核心,为开发针对神经胶质细胞的疾病修饰疗法提供了新靶点。

Section image

图6. SNCA-A53T转基因猴表现出帕金森病从无到有的演进过程

本研究由昆明理工大学季维智/牛昱宇/赵璐以及美国北卡大学李刚担任共同通讯作者。昆明理工大学魏景宽/李树林,以及美国北卡大学香槟山分校Dingna Duan和云南省第一人民医院吴昆华为该研究的共同第一作者。该研究得到国家重点研发计划、国家自然科学基金和云南省基础研究计划等的支持。

原文链接:

https://doi.org/10.1093/brain/awag046